Descarta SSG epidemia de varicela en el Estado de Guanajuato.
La Secretaría de Salud de Guanajuato (SSG) descartó un brote de varicela en la entidad, debido a que en lo que va del año han egresado 16 pacientes por esta enfermedad.
En el año 2023 fueron 15 personas las que se atendieron por problemas de salud relacionadas a la varicela, mientras que en el 2024 fueron 22.
Por ahora, la Secretaría de Salud de Guanajuato descarta que exista un brote de varicela en la entidad.
¿Qué es la varicela?
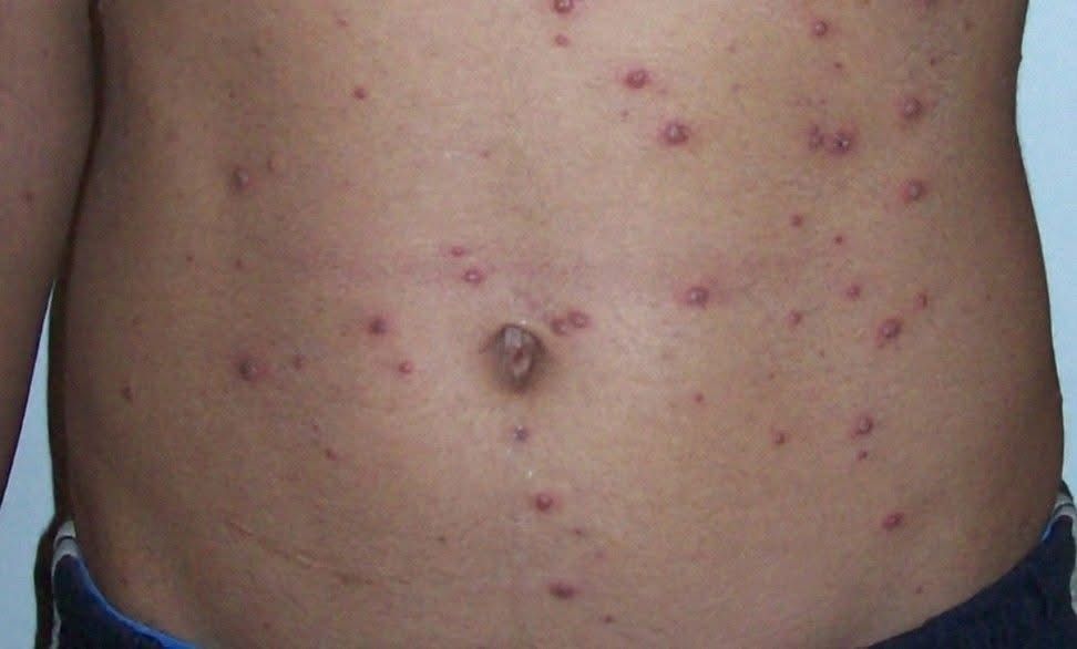
La varicela es una enfermedad viral muy contagiosa, común en la infancia, causada por el virus varicela-zóster. Se transmite por contacto directo o a través del aire por gotitas de saliva.
🔍 Principales síntomas:
Fiebre moderada a alta
Malestar general y cansancio
Pérdida del apetito
Erupción cutánea (inicia con ronchas que se convierten en ampollas con líquido y luego costras)
Picazón intensa.
Recomendaciones en casa:
✅ Aísle al paciente en casa hasta que todas las lesiones tengan costras.
✅ Mantenga las uñas cortas y limpias para evitar infecciones por rascado.
✅ Use ropa ligera y fresca.
✅ No automedique: evite aspirina, puede causar complicaciones.
✅ Mantenga al paciente hidratado y con alimentación ligera.
✅ Baños diarios con agua tibia y jabón neutro.
✅ Aplicar loción de calamina para aliviar la picazón (según indicación médica).
🚨 Acuda de inmediato al centro de salud si:
⚠️ Fiebre alta persistente (> 38.5 °C) por más de 3 días
⚠️ Dificultad para respirar
⚠️ Somnolencia o irritabilidad extrema
⚠️ Lesiones que se infectan o supuran
⚠️ Si el paciente es menor de 1 año, mayor de 12 años, embarazada o tiene enfermedades crónicas
